IVORC
  • Register
  • Login

Medical hypothesis discovery and innovation in ophthalmology

  1. Home
  2. Archives
  3. Vol. 13 No. 2 (2024): Summer 2024
  4. Articles

About the Journal

Editorial Team

Privacy Statement

Contact

Cataract surgery in retinitis pigmentosa

  • Omer Karti
  • Ali Osman Saatci

Medical hypothesis discovery and innovation in ophthalmology, Vol. 13 No. 2 (2024), 14 August 2024 , Page 96-103
https://doi.org/10.51329/mehdiophthal1500 Published 14 August 2024

  • View Article
  • Download
  • Share

Abstract

Background: Retinitis pigmentosa (RP) is an inherited retinal dystrophy characterized by progressive vision loss due to photoreceptor degeneration. Complicated cataract formation, particularly posterior subcapsular cataract (PSC), frequently occurs in RP and exacerbates the visual impairment. Cataract surgery may improve vision; however, the distinctive challenges of RP require specific considerations. This mini-review aims to provide a comprehensive overview of the RP-related cataract.
Methods: A comprehensive literature review was conducted via PubMed/MEDLINE, spanning the period from January 1976 to June 2024, using the keywords “cataract,” “cataract surgery,” “cystoid macular edema,” “hereditary retinal dystrophy,” “retinitis pigmentosa,” “posterior subcapsular cataract,” “posterior capsular opacification,” “zonular weakness,” and “artificial intelligence.” We aimed to evaluate cataract surgery in patients with RP, focusing on cataract formation, its surgical management, postoperative complications, patient follow-up, and visual outcomes. Relevant review articles, clinical trials, and case reports with related reference lists of these articles were included.
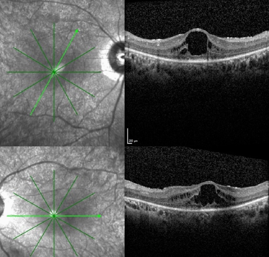
Results: A total of 53 articles were examined in detail, including those identified through focused keyword searches and the reference lists of these articles. Cataract surgery in patients with RP generally results in substantial visual improvement. However, surgery can be complicated, particularly by zonular weakness and subluxation of the crystalline lens. These risks can be reduced by using capsular tension rings and employing meticulous surgical technique. Furthermore, postoperative complications, such as cystoid macular edema and posterior capsular opacification, are common. Despite these challenges, regular postoperative follow-up and appropriate management can help mitigate complications. Integrity of the ellipsoid zone and external limiting membrane on preoperative optical coherence tomographic examination are the main predictors of visual outcomes following cataract surgery; however, outcomes can vary. Though many patients experience significant visual improvement, some may experience limited benefits due to pre-existing advanced retinal degeneration.
Conclusions: Cataract surgery may offer meaningful visual benefits in patients with RP; however, careful preoperative evaluation and meticulous surgical technique are required to address the possible challenges. Attentive postoperative care and follow-up are essential to optimize visual outcomes. Early surgical intervention can significantly improve the quality of life in selected candidates, and tailored approaches are necessary in patients with RP requiring cataract surgery. Further studies on the potential application of artificial intelligence to monitor postoperative recovery and detect complications may improve surgical outcomes and enhance patient care.
  • Full Text PDF
  • Abstract Viewed: 0 times
  • Full Text PDF Downloaded: 0 times

Download Statastics

  • Linkedin
  • Twitter
  • Facebook
  • Google Plus
  • Telegram
Open Journal Systems
Current Issue
  • Atom logo
  • RSS2 logo
  • RSS1 logo
Information
  • For Readers
  • For Authors
  • For Librarians
  • Home
  • Archives
  • Submissions
  • About the Journal
  • Editorial Team
  • Contact

ISSN: 2322-3219

This is an open-access journal distributed under the terms of the Creative Commons Attribution-NonCommercial 4.0 International (CC BY-NC 4.0).
© Copyright 2012-2025, CC BY-NC 4.0. All Rights Reserved.