Clinical characteristics and outcomes of band keratopathy: a 10-year retrospective analysis
Medical hypothesis, discovery & innovation in optometry,
Vol. 5 No. 2 (2024),
1 September 2024
,
Page 70-75
https://doi.org/10.51329/mehdioptometry200
Abstract
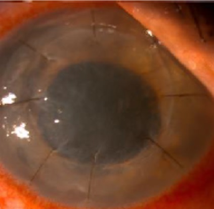
Background: Band keratopathy is a chronic, degenerative corneal disease resulting from gradual calcium deposition in the superficial cornea. Herein, we report the spectrum of causes, treatment outcomes, and recurrence rates of band keratopathy at a tertiary referral center throughout one decade.Methods: This retrospective study included patients with clinical diagnoses of band keratopathy who were treated with combined ethylenediaminetetraacetic acid (EDTA) and superficial keratectomy with or without amniotic membrane transplantation (AMT). Patient medical records were reviewed, and detailed demographic and ophthalmological data, such as baseline and last follow-up best-corrected distance visual acuity (BCDVA), ocular or medical comorbidities, type of intervention, postoperative follow-up duration, relevant complications, and recurrence were recorded.
Results: A total of 32 eyes of 29 patients with 3 (10.3%) bilateral and 26 (89.7%) unilateral cases of treatment-requiring bank keratopathy were included. The mean (standard deviation [SD]) (range) age was 39.4 (22.4) (2–74) years, and most patients were female. The most common secondary cause was previous vitreoretinal surgery with silicone oil tamponade (15.6%); however, idiopathic cases were the most common (18.8%). Systemic comorbidities were present in 27.6% of patients, consisting of hypertension, diabetes mellitus, epilepsy, coronary artery disease, Behcet’s disease, and juvenile idiopathic arthritis; however, none of the patients had systemic diseases associated with hypercalcemia. Two of the 3 patients with bilateral involvement had chronic uveitis secondary to systemic rheumatological disease. The mean (SD) follow-up duration was 5.6 (4.0) years, and no serious postoperative complications occurred. The mean (SD) baseline and final BCDVA in logarithm of the minimum angle of resolution (logMAR) were 1.98 (1.0) and 1.7 (1.0), respectively (P > 0.05). Combined EDTA chelation and superficial keratectomy with and without AMT were performed in 12.5% and 87.5% of eyes, respectively. Recurrence was observed in 37.5% of eyes within the mean (SD) (range) follow-up of 9.4 (9.1) (1–32) months. Seven of the 12 eyes with recurrence underwent re-EDTA chelation combined with superficial keratectomy and AMT; however, 5 patients managed conservatively.
Conclusions: In this study, band keratopathy requiring intervention more commonly affected female individuals and was unilateral. Most cases were idiopathic. Systemic comorbidities were present in approximately one-third of cases. Managing band keratopathy using a combination of EDTA chelation and superficial keratectomy with or without AMT could be a potential treatment modality. Further large-scale studies are required to provide robust conclusions regarding the efficacy and safety of this management approach.
Keywords:
- band keratopathy
- corneal degeneration
- ethylenedinitrilotetraacetic acid
- chelation therapies
- keratectomies
- amniotic membrane
- visual acuities
- recurrences
References
1. Jhanji V, Rapuano CJ, Vajpayee RB. Corneal calcific band keratopathy. Curr Opin Ophthalmol. 2011 Jul;22(4):283-9. doi: 10.1097/ICU.0b013e3283477d36. PMID: 21537183.
2. Singh P, Tripathy K. Keratopathy. 2023 Aug 25. In: StatPearls [Internet]. Treasure Island (FL): StatPearls Publishing; 2024 Jan–. PMID: 32965824.
3. Berryhill EH, Thomasy SM, Kass PH, Reilly CM, Good KL, Hollingsworth SR, Maggs DJ, Magdesian KG, Pusterla N. Comparison of corneal degeneration and calcific band keratopathy from 2000 to 2013 in 69 horses. Vet Ophthalmol. 2017 Jan;20(1):16-26. doi: 10.1111/vop.12338. Epub 2016 Jan 15. PMID: 26773714.
4. Guillaume-Czitrom S, Stephan S, Bodaghi B. A Recurrent Central Band Keratopathy in a Child. J Rheumatol. 2021 Jul;48(7):1104-1105. doi: 10.3899/jrheum.200462. Epub 2021 Jun 1. PMID: 34074679.
5. Wiedemann J, Cursiefen C. Bandkeratopathie bei ektoper Vitamin-D-Produktion bei Sarkoidose [Band keratopathy in ectopic vitamin D production in sarcoidosis]. Ophthalmologie. 2023 Jul;120(7):763-766. German. doi: 10.1007/s00347-022-01679-3. Epub 2022 Jul 19. PMID: 35925356.
6. Mansour AM, Haddad R. Optical coherence tomography of band keratopathy. BMJ Case Rep. 2016 Dec 30;2016:bcr2016218216. doi: 10.1136/bcr-2016-218216. PMID: 28039348; PMCID: PMC5237787.
7. Stewart OG, Morrell AJ. Management of band keratopathy with excimer phototherapeutic keratectomy: visual, refractive, and symptomatic outcome. Eye (Lond). 2003 Mar;17(2):233-7. doi: 10.1038/sj.eye.6700327. PMID: 12640412.
8. Im SK, Lee KH, Yoon KC. Combined ethylenediaminetetraacetic acid chelation, phototherapeutic keratectomy and amniotic membrane transplantation for treatment of band keratopathy. Korean J Ophthalmol. 2010 Apr;24(2):73-7. doi: 10.3341/kjo.2010.24.2.73. Epub 2010 Apr 6. PMID: 20379455; PMCID: PMC2851005.
9. Kwon YS, Song YS, Kim JC. New treatment for band keratopathy: superficial lamellar keratectomy, EDTA chelation and amniotic membrane transplantation. J Korean Med Sci. 2004 Aug;19(4):611-5. doi: 10.3346/jkms.2004.19.4.611. PMID: 15308858; PMCID: PMC2816901.
10. Jirsova K, Jones GLA. Amniotic membrane in ophthalmology: properties, preparation, storage and indications for grafting-a review. Cell Tissue Bank. 2017 Jun;18(2):193-204. doi: 10.1007/s10561-017-9618-5. Epub 2017 Mar 2. PMID: 28255771.
11. Letko E, Stechschulte SU, Kenyon KR, Sadeq N, Romero TR, Samson CM, Nguyen QD, Harper SL, Primack JD, Azar DT, Gruterich M, Dohlman CH, Baltatzis S, Foster CS. Amniotic membrane inlay and overlay grafting for corneal epithelial defects and stromal ulcers. Arch Ophthalmol. 2001 May;119(5):659-63. doi: 10.1001/archopht.119.5.659. PMID: 11346392.
12. Najjar DM, Cohen EJ, Rapuano CJ, Laibson PR. EDTA chelation for calcific band keratopathy: results and long-term follow-up. Am J Ophthalmol. 2004 Jun;137(6):1056-64. doi: 10.1016/j.ajo.2004.01.036. PMID: 15183790.
13. He K, Liao M, Zhu Y, Cui B, Chen H, Wang T, Wu N, Xie Z, Luo J, Wei Y, Wang Z, Zhou H, Shen Z, Yan H. Risk Factors for Band Keratopathy in Aphakic Eyes With Silicone Oil Tamponade for Open-Globe Injuries: A Multicenter Case-Control Study. Front Med (Lausanne). 2021 Jul 23;8:713599. doi: 10.3389/fmed.2021.713599. PMID: 34368200; PMCID: PMC8342885.
14. Das AV, Pillutla LN, Chaurasia S. Clinical profile and demographic distribution of band shaped keratopathy in India: A study of 8801 patients. Indian J Ophthalmol. 2022 May;70(5):1582-1585. doi: 10.4103/ijo.IJO_2541_21. PMID: 35502030; PMCID: PMC9332964.
15. Jan RL, Wang JJ, Tseng SH, Chang YS. Sociodemographic Factors and Comorbidities Including Hyperparathyroidism Are Associated With an Increased Risk of Band Keratopathy: A Population-Based Study in Taiwan. Front Endocrinol (Lausanne). 2022 Jun 15;13:927513. doi: 10.3389/fendo.2022.927513. PMID: 35784561; PMCID: PMC9240185.
16. Canellos HM, Cooper J, Paek A, Chien J. Multiple calcified deposits along the eyelid margins secondary to chronic renal failure and hyperparathyroidism. Optometry. 2005 Mar;76(3):181-4. doi: 10.1016/s1529-1839(05)70283-9. PMID: 15786637.
17. Al-Hity A, Ramaesh K, Lockington D. EDTA chelation for symptomatic band keratopathy: results and recurrence. Eye (Lond). 2018 Jan;32(1):26-31. doi: 10.1038/eye.2017.264. Epub 2017 Dec 1. PMID: 29192681; PMCID: PMC5770724.
18. Anderson DF, Prabhasawat P, Alfonso E, Tseng SC. Amniotic membrane transplantation after the primary surgical management of band keratopathy. Cornea. 2001 May;20(4):354-61. doi: 10.1097/00003226-200105000-00004. PMID: 11333320.
19. Sharma N, Mannan R, Sinha R, Kaushal S, Titiyal JS, Kumar A, Vajpayee RB. Excimer laser phototherapeutic keratectomy for the treatment of silicone oil-induced band-shaped keratopathy. Eye Contact Lens. 2011 Sep;37(5):282-5. doi: 10.1097/ICL.0b013e31821269f1. PMID: 21455078.
20. Najjar DM. Management of band keratopathy with excimer phototherapeutic keratectomy. Eye (Lond). 2006 Feb;20(2):252. doi: 10.1038/sj.eye.6701829. PMID: 15761482.
21. Qian Y, Zhao P, Li H, Ye H. Transepithelial phototherapeutic keratectomy for the treatment of severe band keratopathy. Int Ophthalmol. 2020 Oct;40(10):2469-2474. doi: 10.1007/s10792-020-01574-3. Epub 2020 Sep 11. PMID: 32914278
2. Singh P, Tripathy K. Keratopathy. 2023 Aug 25. In: StatPearls [Internet]. Treasure Island (FL): StatPearls Publishing; 2024 Jan–. PMID: 32965824.
3. Berryhill EH, Thomasy SM, Kass PH, Reilly CM, Good KL, Hollingsworth SR, Maggs DJ, Magdesian KG, Pusterla N. Comparison of corneal degeneration and calcific band keratopathy from 2000 to 2013 in 69 horses. Vet Ophthalmol. 2017 Jan;20(1):16-26. doi: 10.1111/vop.12338. Epub 2016 Jan 15. PMID: 26773714.
4. Guillaume-Czitrom S, Stephan S, Bodaghi B. A Recurrent Central Band Keratopathy in a Child. J Rheumatol. 2021 Jul;48(7):1104-1105. doi: 10.3899/jrheum.200462. Epub 2021 Jun 1. PMID: 34074679.
5. Wiedemann J, Cursiefen C. Bandkeratopathie bei ektoper Vitamin-D-Produktion bei Sarkoidose [Band keratopathy in ectopic vitamin D production in sarcoidosis]. Ophthalmologie. 2023 Jul;120(7):763-766. German. doi: 10.1007/s00347-022-01679-3. Epub 2022 Jul 19. PMID: 35925356.
6. Mansour AM, Haddad R. Optical coherence tomography of band keratopathy. BMJ Case Rep. 2016 Dec 30;2016:bcr2016218216. doi: 10.1136/bcr-2016-218216. PMID: 28039348; PMCID: PMC5237787.
7. Stewart OG, Morrell AJ. Management of band keratopathy with excimer phototherapeutic keratectomy: visual, refractive, and symptomatic outcome. Eye (Lond). 2003 Mar;17(2):233-7. doi: 10.1038/sj.eye.6700327. PMID: 12640412.
8. Im SK, Lee KH, Yoon KC. Combined ethylenediaminetetraacetic acid chelation, phototherapeutic keratectomy and amniotic membrane transplantation for treatment of band keratopathy. Korean J Ophthalmol. 2010 Apr;24(2):73-7. doi: 10.3341/kjo.2010.24.2.73. Epub 2010 Apr 6. PMID: 20379455; PMCID: PMC2851005.
9. Kwon YS, Song YS, Kim JC. New treatment for band keratopathy: superficial lamellar keratectomy, EDTA chelation and amniotic membrane transplantation. J Korean Med Sci. 2004 Aug;19(4):611-5. doi: 10.3346/jkms.2004.19.4.611. PMID: 15308858; PMCID: PMC2816901.
10. Jirsova K, Jones GLA. Amniotic membrane in ophthalmology: properties, preparation, storage and indications for grafting-a review. Cell Tissue Bank. 2017 Jun;18(2):193-204. doi: 10.1007/s10561-017-9618-5. Epub 2017 Mar 2. PMID: 28255771.
11. Letko E, Stechschulte SU, Kenyon KR, Sadeq N, Romero TR, Samson CM, Nguyen QD, Harper SL, Primack JD, Azar DT, Gruterich M, Dohlman CH, Baltatzis S, Foster CS. Amniotic membrane inlay and overlay grafting for corneal epithelial defects and stromal ulcers. Arch Ophthalmol. 2001 May;119(5):659-63. doi: 10.1001/archopht.119.5.659. PMID: 11346392.
12. Najjar DM, Cohen EJ, Rapuano CJ, Laibson PR. EDTA chelation for calcific band keratopathy: results and long-term follow-up. Am J Ophthalmol. 2004 Jun;137(6):1056-64. doi: 10.1016/j.ajo.2004.01.036. PMID: 15183790.
13. He K, Liao M, Zhu Y, Cui B, Chen H, Wang T, Wu N, Xie Z, Luo J, Wei Y, Wang Z, Zhou H, Shen Z, Yan H. Risk Factors for Band Keratopathy in Aphakic Eyes With Silicone Oil Tamponade for Open-Globe Injuries: A Multicenter Case-Control Study. Front Med (Lausanne). 2021 Jul 23;8:713599. doi: 10.3389/fmed.2021.713599. PMID: 34368200; PMCID: PMC8342885.
14. Das AV, Pillutla LN, Chaurasia S. Clinical profile and demographic distribution of band shaped keratopathy in India: A study of 8801 patients. Indian J Ophthalmol. 2022 May;70(5):1582-1585. doi: 10.4103/ijo.IJO_2541_21. PMID: 35502030; PMCID: PMC9332964.
15. Jan RL, Wang JJ, Tseng SH, Chang YS. Sociodemographic Factors and Comorbidities Including Hyperparathyroidism Are Associated With an Increased Risk of Band Keratopathy: A Population-Based Study in Taiwan. Front Endocrinol (Lausanne). 2022 Jun 15;13:927513. doi: 10.3389/fendo.2022.927513. PMID: 35784561; PMCID: PMC9240185.
16. Canellos HM, Cooper J, Paek A, Chien J. Multiple calcified deposits along the eyelid margins secondary to chronic renal failure and hyperparathyroidism. Optometry. 2005 Mar;76(3):181-4. doi: 10.1016/s1529-1839(05)70283-9. PMID: 15786637.
17. Al-Hity A, Ramaesh K, Lockington D. EDTA chelation for symptomatic band keratopathy: results and recurrence. Eye (Lond). 2018 Jan;32(1):26-31. doi: 10.1038/eye.2017.264. Epub 2017 Dec 1. PMID: 29192681; PMCID: PMC5770724.
18. Anderson DF, Prabhasawat P, Alfonso E, Tseng SC. Amniotic membrane transplantation after the primary surgical management of band keratopathy. Cornea. 2001 May;20(4):354-61. doi: 10.1097/00003226-200105000-00004. PMID: 11333320.
19. Sharma N, Mannan R, Sinha R, Kaushal S, Titiyal JS, Kumar A, Vajpayee RB. Excimer laser phototherapeutic keratectomy for the treatment of silicone oil-induced band-shaped keratopathy. Eye Contact Lens. 2011 Sep;37(5):282-5. doi: 10.1097/ICL.0b013e31821269f1. PMID: 21455078.
20. Najjar DM. Management of band keratopathy with excimer phototherapeutic keratectomy. Eye (Lond). 2006 Feb;20(2):252. doi: 10.1038/sj.eye.6701829. PMID: 15761482.
21. Qian Y, Zhao P, Li H, Ye H. Transepithelial phototherapeutic keratectomy for the treatment of severe band keratopathy. Int Ophthalmol. 2020 Oct;40(10):2469-2474. doi: 10.1007/s10792-020-01574-3. Epub 2020 Sep 11. PMID: 32914278
- Abstract Viewed: 0 times
- Full Text PDF Downloaded: 0 times